
Not everyone knows what muscle disease is, because of this, people are confused in treatment methods and do not understand the principles of pathological diagnosis.Arthritis is a serious disorder violation that causes damage of cartilage tissue in the intracranial cavity.The complexity of therapy is involved in the inevitability of the processes, a complete treatment within the framework of modern medicine, but the severity of the symptoms may decrease and the progression of the pathology may slow down.With appropriate treatment, a person continues the usual lifestyle for a long time.
What is Arthrosis?
Similarly, more simply for arthritis is a disease of joints that cause limitations of the amplitude of movement and pain.At the first stage of damage, no expression, mild severity and wash.Gradually, the disease progresses, this is facilitated by changes related to age in the body, stress, injury, etc.
Arthritis develops for a long time, initially only affecting Hyalin cartilage, then spread to the bone, related to the interpretation, muscle and all joint capsules.In the first stage or early stage of arthritis, the lesions are manifested a bit: small pain after working hard, swelling, redness of the skin.Due to ignoring discomfort, deformed joints, inflammation, giving serious pain, their peak falls in the morning.The disease is characterized by the disappearance of pain after joint development.If left untreated, a person completely lost his ability to move.

There is a major and secondary form of arthritis.Pseudo-Vribrosis (Neartrosis) is also distinguished- not many people know what it is, because it is formed less often than other varieties.Neoarthrosis is a fake joint, so cartilage tissue increases in an abnormal place where the damage is obtained.It is difficult to treat, mainly surgery.
There is a disease due to regenerative, immune or mechanical disorders.Due to different causes of cartilage, it becomes thinner.Under normal conditions, cartilage fabric receives enough nutrition to recover, but after excessive exertion or due to violations of metabolic processes, fabrics do not have time to regenerate.In the first stage, the general mobility remains.Considering what muscle disease is a definition, it has a deeper value of the development of pathology.
The development mechanism of arthritis, its types
Many types of joints develop according to a similar plan:
- The main lesions affect Hyaline cartilage.In the case of circulatory disorders, the decline in pathological strength occurs.It is the first step or cause, may occur.
- Hyalin coating.The thinness of cartilage leads to the replacement of its pathological tissue - bone structure.
- The abnormal growth appears on cartilage - bone.
- The violation of the natural surgery of cartilage and bone causes the overload of the healthy areas of cartilage.The destruction of joint tissues without constant treatment and leading to defects.
As the level of the disease increases, the pathological processes are still worse.Finally, all the Hyalin cartilage was destroyed.
The final level of the disease leads to:
- participation in the pathological process of bone, lower and on cartilage surfaces;
- Stimulating joints, limiting mobility, leading to 2 -degree defect;
- increase capsules density;
- Reduce the distance in the gap of the joints, becoming noticeable in the picture.The violation stage is determined by a diagnostic expert.The patient felt complexity or inability to completely straighten and bend limbs;
- joint deformation, cartilage has irregular shapes, stimulating curvature;
- A decline in the patient's condition with complete joint destruction.
The stage of muscle disease
The common disease has 3 stages of development:

- 1 degree.Morphological disorders have begun, but they have not been noticed.The pathology mainly affects the condition of the fluid liquid, providing worse than the cartilage tissue with nutritional components, reducing the power of cartilage.Loads on joints stimulate inflammation and pain.
- Stage 2. Due to the shortage of supply, the needed cartridges needed, the development of the bone is formed on the surface of the cartilage.Pain has a more pronounced, enhanced character after a long rest, removed by small physical labor.Pain is accompanied by inflammation.The muscles are prolonged, leading to weak or medium movement functions.
- 3 degrees.Often there are pain, which is difficult to move due to joint changes.The lesions are spacious, becoming noticeable for naked appearance.The deformation of the common position occurs, the affected area is swollen and becomes red.The spending shaft is disturbed, leading to the complexity of motion.Pathological changes in stimulating shortening ligaments.Sebriares and contracts appear.The neighboring muscles are shortened or prolonged, from which the function of shrinking is weakened.
Causes and risk factors for the development of arthritis
The cause of arthritis of joints varies depending on the form of pathology.Deforming joints of elbow joints, ankle joints and shoulder arthritis sometimes develops without noticeable causes, can detect them to a doctor, an expert in rheumatism.If the problem is not ahead because the disease can be seen, the disease is called the main.The form of secondary violations is mainly diagnosed, it can cause different states.
The main reasons for development:
- Mechanical damage: dislocated, fracture, prolonged, cartilage injury;
- Some endocrine disorders related to immunosuppressive incidents;
- Metabolic disease;
- Dehumidering (congenital anomalies of joint tissues);
- have arthritis;
- The disease leads to high movement of joints and weakens the ligament.
Patients with arthritis often have a disease caused by factors:
- changes related to age;
- Lightweight and increase BMI.High load on joints leads to rapid joint wear;
- lack of beneficial substances;
- Excessive load on joints.The reason is strong training, sports, hard work;
- Difficult working conditions or incorrect approach to sports.If there is a history of genetic trend, joint injury or similar diseases, it is important to follow a special training program, avoiding painful and difficult exercises;
- The recovery time after surgery or complex activities is transmitted to the removal of a large part of the affected fabrics.Such states negatively affect the smoothness and power of cartilage, the load should be minimized on them;
- Genetic trends, arthritis are often diagnosed in patients with relatives with the same pathology;
- The post -menopause period, which occurs in women for about 50 years, is related to changes in the endocrine system;
- Destructive effects of toxins;
- Poor environmental situation in the residence area;
- Frequent damage to joints, sometimes Vicrocracks does not appear for a long time;
- Lower body temperature;
- The pathology of the waist and cervix of the spine.
Nguyen Phat arthritis

Nguyen Phat arthritis is formed independently, meaning that there is no influence of any internal or external causes.Failure to develop through Hyalin cartilage is quite slow.It is rarely diagnosed, it only accounts for 3-5% of all cases.
Secondary arthritis
Secondary arthritis is usually detected in the order of 95-96% of cases.They are provoked by any above pathology.
Signs and symptoms of arthritis
The manifestations of the disease are very small depending on the localization, often the signs are reflected on the knees, shoulders and hip joints, due to the high load.
Mainly the complaints are given:
- Pain.They have low severity at the initial stage, with increased sensation.Initially, the joints were only damaged after waking up, after a warm feeling, feeling disappeared.Over time, the pain appears at night, they are very disturbed during and after prolonged walking, running, etc. in the final stage, the pain syndrome pursues a person at all times;
- The limited amplitude of the motion.The hardness of the actions shows the surgical changes in the structure.At first, it showed in the morning, then the daily movements were limited.In order not to cause the aggravation of this condition, the work must be diverse and gentle, otherwise the patient will not be able to relieve and tighten limbs over time.Over time, there is a risk of signing a contract, from which a person loses the ability to exercise;
- The crown in movements - it belongs to nonspecific manifestations of arthritis.The disease is characterized by the appearance of a single joint (except for polyarthrosis), accompanied by an discomfort, pain and limited actions.The nature of the current is like a wave - at first, it shows weakness and increasing, but in 3 stages of disappearance;
- Swelling with red.It is localized near the disease, which shows a process of inflammation and progression of the disease.The doctor understands that the interpretation shell is affected, which causes liquid accumulation and increased pain;
Deforming Chi.Appearing in an forgotten form of the disease, showing the complete destruction of cartilage tissue and the appearance of bone cells.In this state, the pressure on the upper and below joints increases, from which the curvature can affect the entire limb.
It is important to remember that the deformation of the bone on the leg is often confused with corn.Symptoms are poorly dangerous at first sight, but lead to serious consequences.
Complication
Initially, conservative treatments were used for treatment.If they are ineffective or the patient has ignored the recommendations of the doctor, there is a risk of consequences.
Property complications:
- The joints are completely destroyed;
- The spending is motionless, any movement becomes extremely difficult;
- Intervertebral hernia;
- disability;
- The strong deformation of the joint or the whole limb.
Diagnosis of arthritis
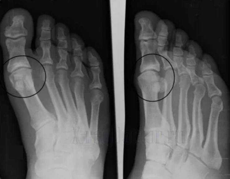
For diagnosis, rheumatoid doctors studied patient complaints and prescribed X -Ray examination.Usually, X -ray is used in 2 projections.The doctor looks at the presence of nourishing disorders in Hyaline cartilage and joints.If the joint distance is reduced, the bone is deformed or flattened, there is a follicle formation on the surface of the cartilage, osteoporosis is a clear sign of Arthrosis.During the test, arthritis shows the unstable joints: the axis of the limbs and subluxation are disturbed.

Usually a X -Ray picture cannot provide adequate information about the condition of the joint.For a more thorough study, the computerized tomography is prescribed, it is effective for bone testing.MRI is often used to study soft tissues.
During the diagnosis, the participation of other experts practiced, who will help determine the root cause of the pathology.Often used for advice from a hematurian doctor, endocrinologist, gynecologist, orthopedic.
Modern treatment
There are hundreds of joint treatments, but all go down to some methods:
- Treatment with drugs.The main task is to combat symptoms and prevent further development of violations.Typically, painkillers are used to relieve pain, non -inflammatory anti -inflammatory drugs for anti -inflammatory, hormonal drugs prescribed for severe pain and acute inflammation.Each course based on chondroprotector protects cartilage fabric from destruction, natural substances are used for production;
- Physiotherapy.Enhance the effectiveness of the drug, fight inflammation, reduce symptoms, accelerate tissue regeneration.Most often use ultrasound, electrical, magnetic, laser therapy.This also includes mud bathroom, applied with natural materials, Radon bathrooms;
- Medical physical education.It is very useful as a prevention and conditions for conditions.After accurate physical exercises, it is possible to completely eliminate pain.It is helpful to visit the pool, participate in yoga and often walk;
- Craft therapy, massage will help treat the disease, because they contribute to preventing the curvature of the joints.After being injured, the manual therapist can level the joint, prevent his determination in the wrong position.After massage, muscle tone is enhanced, blood circulation is accelerated;
- Appropriate nutrition.A healthy diet will help enrich the body with nutrients for cartilage and reduce body weight.A large volume increases the wear of joints;
- Treatment of Resentorium treatment will enhance joints.Within the framework of the healing, treatment workers are provided with backpe therapy, exercise therapy, physical procedure, etc.;
- Unmonductive therapy.To treat muscle diseases, huts, natural medicine, APH-and herbs, as well as acupuncture and different folk recipes used;
- Surgical intervention is the only way to return to normal life in the third stage of the disease.Endoprosthetic allows you to replace the patient cartilage with implants.The only limitation of operation is high cost.One procedure is sufficient in 15-20 years.
Prevention measures
Therefore, joint disease does not mind in old age, standing:
- Maintain a healthy lifestyle;
- prevent strong load;
- Observe the diet;
- eliminate bad habits;
- Perform daily tools;
- Follow the weight.
Arthrosis is a much more dangerous disease that is easier to prevent than healing.With a timely search for a doctor and adhering to the treatment rules, the patient will be able to maintain a familiar lifestyle for a long time.The lack of therapy and self -causing the rapid seriousness of the disease, and finally disability.

























